InVivage
Oral Pathology Redefined
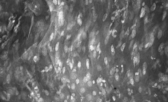
InVivage® is an intra-oral digital endomicroscope that offers the power of single-cell oral imaging at your fingertips. InVivage® by Optiscan is built with our unique patented 3D imaging technology, providing live microscopic oral imaging solutions in optimal resolution, and unlimited image capture to assist in immediate informed decision making.
Features
- Incorporates the latest Optiscan technology for slide-free, biopsy-free, non-destructive cellular imaging
- Optimized for imaging cellular architecture, in clinical and research settings, at single cell level
- Features miniaturized hand-held endomicroscopic probe (4mm diameter tip)
- Produces real-time, high-resolution images at 1000x real magnification
- DICOM-compatible/PACS-enabled allowing image transmission and storage
- ORIS™ operating system software designed specifically for a dental workflow
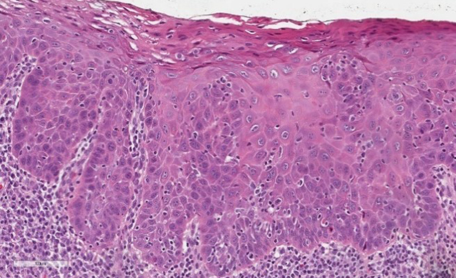
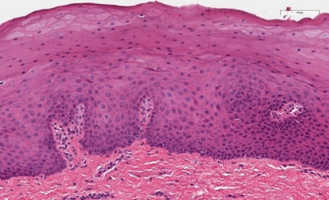
- Images easily interpreted using recognized WHO diagnostic criteria for oral epithelial dysplasia

InVivage® can help clinicians distinguish normal, precancerous and cancerous oral tissue.
Disclaimer: InVivage® is not available in the USA and is currently under regulatory review for clinical use in various geographies.